Skip to content
  • 關於醫師
    • 黃瑋萱醫師
    • 診所環境
  • 植牙
    • 台北植牙推薦
    • 植牙費用
      • 植牙費用PTT常見問題
    • 植牙流程
    • 植牙植體
    • 植牙壽命
    • 牙根斷裂
  • 全口重建
    • All-on-4全口重建
    • 全口重建費用
  • 陶瓷貼片
    • 陶瓷貼片價格
  • 全瓷冠
  • 3D齒雕
  • 假牙
  • 案例分享
    • 案例分享-All-on-4全口重建
    • 案例分享-陶瓷貼片
    • 案例分享-全瓷冠
  • 最新消息
  • 關於醫師
    • 黃瑋萱醫師
    • 診所環境
  • 植牙
    • 台北植牙推薦
    • 植牙費用
      • 植牙費用PTT常見問題
    • 植牙流程
    • 植牙植體
    • 植牙壽命
    • 牙根斷裂
  • 全口重建
    • All-on-4全口重建
    • 全口重建費用
  • 陶瓷貼片
    • 陶瓷貼片價格
  • 全瓷冠
  • 3D齒雕
  • 假牙
  • 案例分享
    • 案例分享-All-on-4全口重建
    • 案例分享-陶瓷貼片
    • 案例分享-全瓷冠
  • 最新消息
立即預約

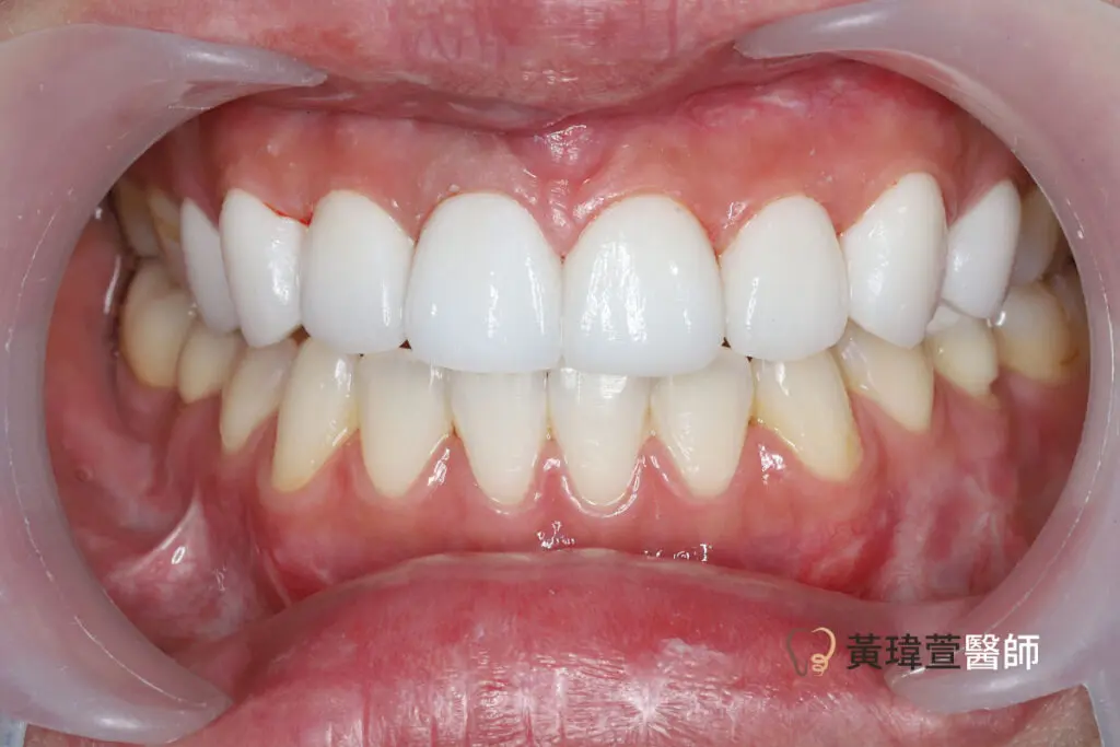
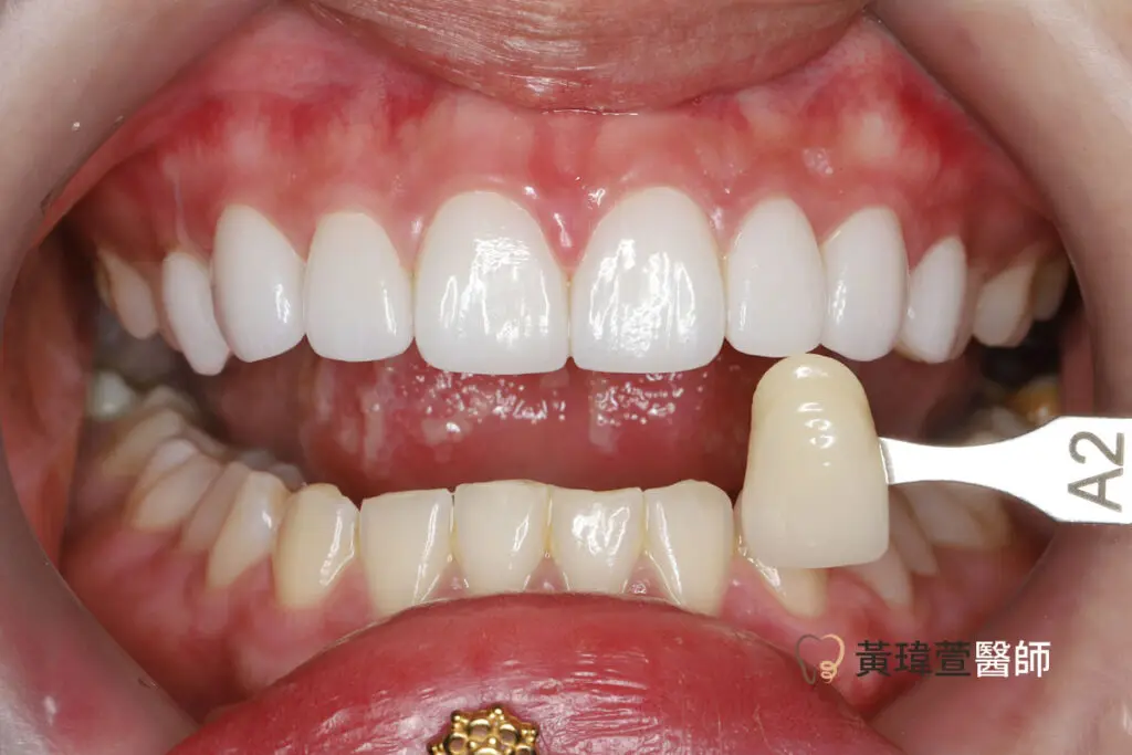
案例分享-陶瓷貼片

  • Veneer

陶瓷貼片案例

202407

陶瓷貼片案例 – 李先生

年齡:30 Main complaint:牙齒短,

閱讀更多 →
20240702

陶瓷貼片案例 – 劉小姐

年齡:32 Main complaint:矯正後蛀

閱讀更多 →
20240702

陶瓷貼片案例 – 蔡小姐

年齡:32 Main complaint:後牙缺牙

閱讀更多 →
20240702

陶瓷貼片案例 – 許小姐

年齡:33 Main complaint:多顆牙齒

閱讀更多 →
20240702

陶瓷貼片案例 – 吳小姐

年齡:33 Main complaint:牙齦高低

閱讀更多 →
20240702

陶瓷貼片案例 – 熊小姐

年齡:35 Main complaint:根管治療

閱讀更多 →
20240702

陶瓷貼片案例 – 鄭小姐

年齡:42 Main complaint:多年矯正

閱讀更多 →
veneer case4 small 1

陶瓷貼片+全瓷冠案例-黃先生

閱讀更多 →
veneer case3 small 1

陶瓷貼片案例-鹿小姐

閱讀更多 →
veneer case2 small 1

陶瓷貼片案例-蔡小姐

閱讀更多 →
veneer case1 small 1

陶瓷貼片案例-謝小姐

閱讀更多 →
IG

Instagram

聯絡表單

聯絡表單

Dent&Co

預約專線

FB

Facebook

IG
FB
聯絡表單
「親切、專業、沒有距離感,這是自始至終我想帶給每位患者的特質!」當人們以美好的笑容踏出診所,彷彿又離理想生活更近了一步。
Instagram Facebook
預約資訊

預約資訊

撥打預約專線
填寫預約表單
最新文章

最新文章

門診公告|黃瑋萱醫師2026元旦門診安排

門診公告|黃瑋萱醫師2025行憲紀念日門診安排

【2025年最新】4大植牙品牌排名,掌握植體品牌挑選法則

門診公告|新尊榮牙醫員工訓練休診公告

診所位置

診所位置

新尊榮牙醫診所

  • 台北市松山區八德路四段674號
  •       (捷運松山站2號出口步行過馬路30秒)
  • 02-27686006
本網頁禁止任何網際網路業者轉錄其網路資訊之內容供人點閱
© 2022 黃瑋萱醫師 All Rights Reserved.