Skip to content
  • 關於醫師
    • 黃瑋萱醫師
    • 診所環境
  • 植牙
    • 台北植牙推薦
    • 植牙費用
      • 植牙費用PTT常見問題
    • 植牙流程
    • 植牙植體
    • 植牙壽命
    • 牙根斷裂
  • 全口重建
    • All-on-4全口重建
    • 全口重建費用
  • 陶瓷貼片
    • 陶瓷貼片價格
  • 全瓷冠
  • 3D齒雕
  • 假牙
  • 案例分享
    • 案例分享-All-on-4全口重建
    • 案例分享-陶瓷貼片
    • 案例分享-全瓷冠
  • 最新消息
  • 關於醫師
    • 黃瑋萱醫師
    • 診所環境
  • 植牙
    • 台北植牙推薦
    • 植牙費用
      • 植牙費用PTT常見問題
    • 植牙流程
    • 植牙植體
    • 植牙壽命
    • 牙根斷裂
  • 全口重建
    • All-on-4全口重建
    • 全口重建費用
  • 陶瓷貼片
    • 陶瓷貼片價格
  • 全瓷冠
  • 3D齒雕
  • 假牙
  • 案例分享
    • 案例分享-All-on-4全口重建
    • 案例分享-陶瓷貼片
    • 案例分享-全瓷冠
  • 最新消息
立即預約
Read more about the article 陶瓷貼片案例 – 李先生
202407

陶瓷貼片案例 – 李先生

  • Post author:arnoseostudiowin
  • Post published:2024 年 7 月 2 日
  • Post category:案例分享/案例分享-陶瓷貼片

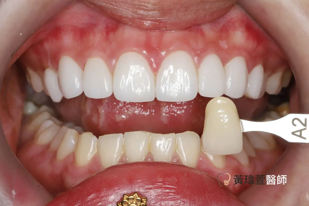
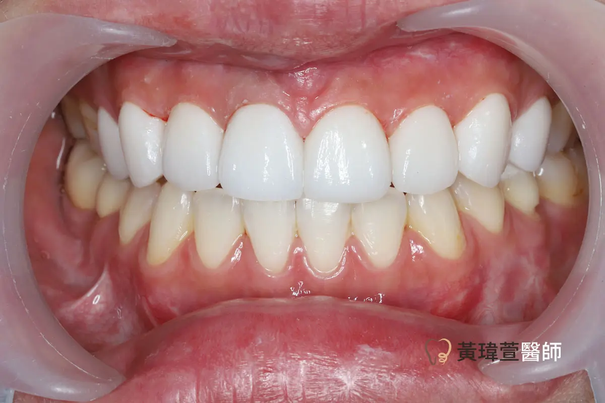
年齡:30 Main complaint:牙齒短,微暴牙,牙...

Continue Reading陶瓷貼片案例 – 李先生
Read more about the article 陶瓷貼片案例 – 劉小姐
20240702

陶瓷貼片案例 – 劉小姐

  • Post author:arnoseostudiowin
  • Post published:2024 年 7 月 2 日
  • Post category:案例分享/案例分享-陶瓷貼片

年齡:32 Main complaint:矯正後蛀牙;染色填...

Continue Reading陶瓷貼片案例 – 劉小姐
Read more about the article 陶瓷貼片案例 – 蔡小姐
20240702

陶瓷貼片案例 – 蔡小姐

  • Post author:arnoseostudiowin
  • Post published:2024 年 7 月 2 日
  • Post category:案例分享/案例分享-陶瓷貼片

年齡:32 Main complaint:後牙缺牙。上顎前牙...

Continue Reading陶瓷貼片案例 – 蔡小姐
Read more about the article 陶瓷貼片案例 – 許小姐
20240702

陶瓷貼片案例 – 許小姐

  • Post author:arnoseostudiowin
  • Post published:2024 年 7 月 2 日
  • Post category:案例分享/案例分享-陶瓷貼片

年齡:33 Main complaint:多顆牙齒上填充物染...

Continue Reading陶瓷貼片案例 – 許小姐
Read more about the article 陶瓷貼片案例 – 吳小姐
20240702

陶瓷貼片案例 – 吳小姐

  • Post author:arnoseostudiowin
  • Post published:2024 年 7 月 2 日
  • Post category:案例分享/案例分享-陶瓷貼片

年齡:33 Main complaint:牙齦高低不平,牙齒...

Continue Reading陶瓷貼片案例 – 吳小姐
Read more about the article 陶瓷貼片案例 – 熊小姐
20240702

陶瓷貼片案例 – 熊小姐

  • Post author:arnoseostudiowin
  • Post published:2024 年 7 月 2 日
  • Post category:案例分享/案例分享-陶瓷貼片

年齡:35 Main complaint:根管治療後牙齒變黑...

Continue Reading陶瓷貼片案例 – 熊小姐
Read more about the article 陶瓷貼片案例 – 鄭小姐
20240702

陶瓷貼片案例 – 鄭小姐

  • Post author:arnoseostudiowin
  • Post published:2024 年 7 月 2 日
  • Post category:案例分享/案例分享-陶瓷貼片

年齡:42 Main complaint:多年矯正導致蛀牙還...

Continue Reading陶瓷貼片案例 – 鄭小姐
Read more about the article 陶瓷貼片+全瓷冠案例-黃先生

陶瓷貼片+全瓷冠案例-黃先生

  • Post author:chloe.hsu
  • Post published:2022 年 8 月 1 日
  • Post category:案例分享/案例分享-全瓷冠/案例分享-陶瓷貼片

Continue Reading陶瓷貼片+全瓷冠案例-黃先生
Read more about the article 陶瓷貼片案例-鹿小姐

陶瓷貼片案例-鹿小姐

  • Post author:chloe.hsu
  • Post published:2022 年 8 月 1 日
  • Post category:案例分享/案例分享-陶瓷貼片

Continue Reading陶瓷貼片案例-鹿小姐
Read more about the article 陶瓷貼片案例-蔡小姐

陶瓷貼片案例-蔡小姐

  • Post author:chloe.hsu
  • Post published:2022 年 8 月 1 日
  • Post category:案例分享-陶瓷貼片/案例分享

Continue Reading陶瓷貼片案例-蔡小姐
  • 1
  • 2
  • Go to the next page
IG

Instagram

聯絡表單

聯絡表單

Dent&Co

預約專線

FB

Facebook

IG
FB
聯絡表單
「親切、專業、沒有距離感,這是自始至終我想帶給每位患者的特質!」當人們以美好的笑容踏出診所,彷彿又離理想生活更近了一步。
Instagram Facebook
預約資訊

預約資訊

撥打預約專線
填寫預約表單
最新文章

最新文章

黃瑋萱醫師祝您2026母親節快樂

門診公告|黃瑋萱醫師2026勞動節門診安排

門診公告|黃瑋萱醫師2026清明節門診安排

門診公告|黃瑋萱醫師2026元旦門診安排

診所位置

診所位置

新尊榮牙醫診所

  • 台北市松山區八德路四段674號
  •       (捷運松山站2號出口步行過馬路30秒)
  • 02-27686006
本網頁禁止任何網際網路業者轉錄其網路資訊之內容供人點閱
© 2022 黃瑋萱醫師 All Rights Reserved.